|

MINISH Veneers: A Dentist’s 6-Year Review on Durability & Bite Stability

A Dentist’s Personal MINISH Experience: Why I Chose It—and Why I Still Trust It

One of the most surprising things about having MINISH restorations is how quickly they become “normal.” Most days, I forget I even had treatment. Then a patient asks, “Did you get MINISH too, doctor?”—and I remember. Instead of a long explanation, I simply smile and show them: “Yes. These are my MINISH teeth.”

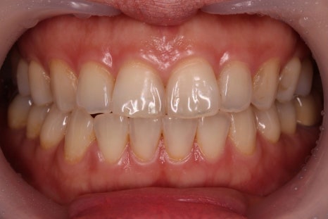
Before MINISH
After MINISH

As a dentist, I know how important trust is—especially for patients traveling from overseas for care. The fact that I chose MINISH for my own mouth, and that I’m still genuinely satisfied years later, is often what helps patients feel more confident about the decision.

This blog post shares my experience as both a dentist and a MINISH patient.

Why I Decided to Get MINISH (A Bite Problem, Not Just Cosmetics)

My primary MINISH dentist is Director Lee Sang-gil—who is also my husband. He noticed something I hadn’t: my front teeth were beginning to tilt forward.

That forward tipping wasn’t simply an “appearance” issue. It was connected to what was happening in the back teeth.

I’ve had long-standing habits of clenching and grinding, and I also had mild bite imbalance in the molar area. Over time, my molars wore down significantly—so much that I could hear my teeth grinding while eating. As the molars continued to wear, my bite started to collapse, and the excessive force shifted to the front teeth, contributing to their gradual change in position.

At that point, restoring the molars became a functional priority.

My Treatment Plan: Molar MINISH First, Then Front Teeth

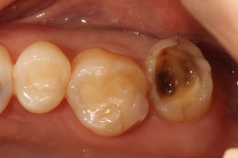
Step 1: MINISH on 4 molars

I received MINISH restorations on a total of four molars. These included:

  • Molars with severe wear from grinding/clenching
  • Retreatment of a molar where an older inlay had broken
  • A molar with secondary decay after a previous resin restoration

Step 2: Anterior (front) MINISH for a natural smile

After stabilizing my bite with molar treatment, I proceeded with anterior MINISH:

  • Upper: 8 teeth
  • Lower: 10 teeth
  • Total: 18 anterior teeth

The outcome felt balanced in two ways:

  • Functionally: my bite stabilized and felt comfortable
  • Aesthetically: my teeth looked natural, and smiling felt easy again

“Isn’t MINISH Too Thin to Be Strong?” (My 6-Year Answer)

This is the most common question I hear—especially from patients comparing different cosmetic dentistry options.

MINISH can be fabricated very thin (in some cases, as thin as 0.1 mm depending on tooth condition). Before bonding, it may look delicate. But after it is bonded, it becomes integrated with the tooth structure.

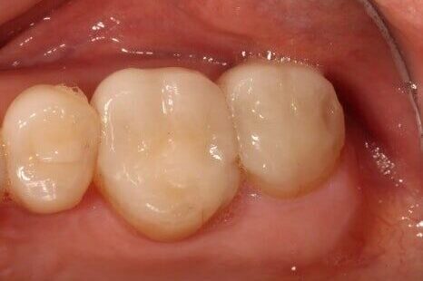
Various Types of MINISH

In my case, it has been six years since my molar MINISH restorations—teeth that receive significantly more chewing force than the front teeth—and I have experienced no chipping or breakage.

In a sense, I’ve done a “long-term clinical test” on myself.

How Bonding Makes Thin Restorations Durable (A Simple Analogy)

Here’s how I explain it to patients:

A single sheet of paper tears easily. But if you glue many sheets together into one solid block, it becomes thick and stable. MINISH works in a similar way—through strong bonding and structural reinforcement, restoring functional thickness in a way that supports everyday chewing.

MINISH Bonding

(As with any dental restoration, long-term success depends on bite forces, habits like grinding, and proper maintenance.)

How Long Does MINISH Last?

In the clinic, I typically explain that there is a quality warranty period up to 15 years. From my personal experience living with MINISH, I believe longevity can extend well beyond that depending on:

  • your original tooth condition
  • grinding/clenching habits
  • bite stability
  • oral hygiene and regular checkups
  • appropriate protective measures (such as a night guard when indicated)

After receiving MINISH myself, I understood what the developer of MINISH meant when he said there’s a certain “feeling” afterward—something about how stable and comfortable your bite becomes. That experience made me think: “I’ll be using this for at least 20 years.”

Since molars naturally endure the most wear, they may require restoration again decades later. But overall, I feel MINISH can last as long as your natural teeth do—when planned correctly and maintained well.

For Medical Tourists: What to Expect When Traveling for MINISH

If you’re considering MINISH as an international patient, the most important step is an accurate diagnosis and treatment plan that matches your goals and your bite.

A proper consultation typically includes:

  • evaluation of tooth wear, bite relationship, and clenching/grinding risk
  • checking existing restorations (inlays, resin fillings, crowns)
  • screening for decay and gum health
  • discussing how many teeth truly need treatment (molars vs. front teeth vs. both)

If you’re traveling on a schedule, it’s especially helpful to share clear photos and any recent dental X-rays in advance so your clinic can advise on timing and visit planning.

My Takeaway (Dentist-to-Patient)

I chose MINISH because it wasn’t only about a brighter smile—it was about restoring function, stabilizing my bite, and preventing further wear. Years later, I’m still satisfied enough that I often “prove it” simply by smiling.

If you’re deciding whether MINISH is right for you, I hope my experience helps you feel more informed—and more reassured.

Note: This article was translated and published from the original with consent from the author.

Contact Us

Loading

Start Your New Smile Today

Contact us for English speaking dentists in Korea. We are contacted daily by local and international patients who work in multiple time zones and in various countries

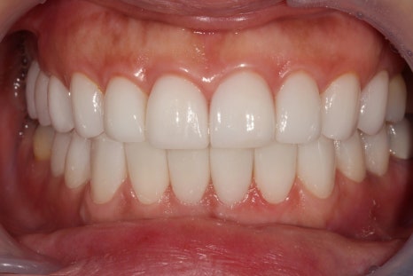
MINISH Before & After

Similar Posts