Orthodontic Treatment in Korea
MINISH Orthodontics corrects misaligned teeth using various dental correcting methods.
We aim to correct teeth with as little discomfort as possible and over the shortest period of time.

MINISH Orthodontics
Ideal Candidates for Orthodontic Treatment



Orthodontic treatment might be required for a wide variety of reasons. At MINISH, we treat all types of crooked or misaligned teeth, tailoring our treatments to each individual for the most ideal solution for your orthodontic concerns.

Crooked Teeth

Gapped Teeth

Snaggleteeth

Protruding Teeth

Inverted Teeth

Misaligned Teeth
MINISH Orthodontics
Our Orthodontic Treatment Programs
We offer a wide range of treatment options each with its own benefits and advantages. During consultation with your doctor, you can decide which one works best for you.


Aesthetically pleasing, shortened treatment time
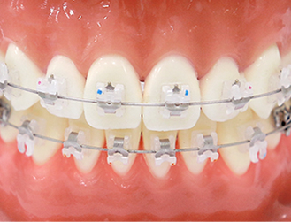
Clippy C Correction


Targeted correction, minimalistic appearance
MTA Correction


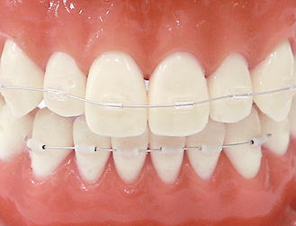
Discreet appearance, comfortable correction
Clear Aligner
MINISH Orthodontics
MINISH Hybrid Orthodontic Treatment
MINISH Hybrid is the ultimate dental and orthodontic treatment, using MINISH’s orthodontic correction methods to first align teeth, and then using MINISH Solutions such as our famous veneers or dental bridge to improve tooth shape, color and texture.

MINISH Orthodontics
MINISH One-Day Orthodontics
One-day orthodontic treatment involves the entire orthodontic preparation, evaluation, and fitting stages being done on the same day. We recommend one-day orthodontic treatment to those who have been putting off orthodontic treatment due to time constraints, such as office workers, those living in rural areas or overseas, and those who have difficulty visiting the clinic frequently. This may or may not be applicable depending on the patient’s dental condition.
* One-day treatment is possible dependent on the patient’s dental condition. Your final treatment plan will be decided on after a consultation with the doctor. The standard length of treatment is around 3 days.

Diagnosis

Consultation

Plan Customized Treatment

Install Alignment Devices
One-day treatment, available at MINISH!
MINISH Orthodontics
Orthodontic Treatment Before and After




Frequently Asked Questions
What orthodontic treatments does Minish Dental Hospital offer?
Minish Dental Hospital provides a variety of orthodontic treatments, including Clippy C ceramic braces, MTA for simple front teeth alignment, and Clear Aligners. Each option is tailored to meet individual patient needs and preferences.
Who are ideal candidates for orthodontic treatment at Minish?
Ideal candidates include individuals with crooked teeth, teeth gaps, snaggleteeth, protruded teeth, inverted teeth, or misaligned teeth. Minish treats all types of dental misalignments.
What is the Minish One-day Orthodontic Program?
The Minish One-day Program involves completing the entire orthodontic preparation, evaluation, and fitting stages in a single day. It is recommended for individuals with limited time, though applicability depends on the patient’s dental condition.
What are the benefits of Clippy C braces?
Clippy C braces are made from ceramic material similar to natural tooth color, offering excellent aesthetics. They feature a self-ligating mechanism for easier wire replacement, reducing treatment time and discomfort.
How does the Clear Aligner treatment work at Minish?
Clear Aligners at Minish are transparent dental aligners customized using CAD-CAM Printer Simulation. They involve frequent and systematic aligner changes, ensuring stable and less painful alignment, and are convenient for cleaning and management.
