Teeth Whitening in Korea
Teeth whitening is a cosmetic dental procedure aimed at removing stains and discoloration from teeth, making them appear lighter and brighter. MINISH Dental Hospital offers teeth whitening treatment without side effects not only for discolored teeth but also for discolored gums and devitalized teeth. The objective is to enhance the appearance of teeth and boost confidence in one’s smile.

MINISH Teeth Whitening
Ideal Candidates for Teeth Whitening
Tooth discoloration is something that can result from various factors, with many things contributing to the strength and way in which our teeth become discolored. People seeking teeth whitening, to improve or restore the natural color of their teeth, do so for a wide variety of reasons, but the causes of teeth discoloration can be grouped broadly into external and internal factors.
What Causes Teeth Discoloration?
External Factors:

Food and Drink
Consuming certain foods and drinks like black tea, coffee, wine, and chocolate, which contain pigments that can stick to the surface of the teeth, leading to stains.

Smoking
Nicotine and tar from cigarettes deposit on the teeth with each smoke, resulting in a yellow or darker shade over time.
Internal Factors:

Aging
As we age, the enamel on our teeth naturally wears down, revealing the naturally yellower dentin beneath, giving teeth a more yellow appearance.

Trauma
Physical damage to the teeth can lead to the internal staining of teeth. This can happen when blood cells break down internally, causing discoloration from the inside.

Root Canal Treatments
Imperfect or failed root canal treatments can leave behind necrotic tissue or bacterial infections inside the tooth cavity, leading to internal staining. Discoloration can also occur from the dental materials used in the procedure.

Medications
Certain medications, drugs, and heavy metals can interfere with tooth coloration during the formation stage of the teeth. Common culprits include tetracycline antibiotics and excessive fluoride, which can cause dental fluorosis.
Patients who have white spots on their teeth are generally advised against undergoing teeth whitening procedures, as these treatments can make the white spots even more noticeable. This is because the whitening process uniformly lightens the color of the entire tooth surface, thereby exaggerating the contrast between the normal tooth enamel and any white lesions present. Instead, dental veneers are recommended as a more suitable solution for such cases.

White spots are more prominent after whitening

Other treatments like MINISH Veneers are ideal
MINISH Teeth Whitening
Types of Teeth Whitening
Depending on the degree of discoloration and the shade of white you desire, various whitening options are available.
Vital (External) Whitening

This is a procedure to restore the color of discolored teeth or teeth that have acquired a yellow color, or to make them brighter using high-concentration hydrogen peroxide or urea peroxide gel.
Both in-office whitening and self-whitening performed at home under the guidance of medical staff are possible options for vital whitening.
Non-Vital (Internal) Whitening

A necrotic tooth is a tooth whose pulp (nerve) has become necrotic (lost vitality) due to external stimulation.
If the color of the teeth changes to gray or dark brown due to the hemoglobin component of the blood component in the pulp (nerve), tooth whitening is necessary.
Non-vital whitening can only be performed in-clinic as it requires treating the nerve and penetrating the tooth to remove the discolored parts.
How Does Vital Whitening Work?
The whitening effect occurs by using hydrogen peroxide as a whitening agent to break down the molecular structure of stains inside the teeth, resulting in a whitening effect.

In-Office Vital Whitening Process
In-Office whitening involves the direct application of highly concentrated bleaching agents onto the teeth after ensuring the gums and mouth are properly protected. This method is known for delivering significant whitening results, making it a popular choice for those seeking immediate improvements in the brightness of their smile. The process is safe, effective, and monitored by medical staff to ensure the health and safety of the patient’s teeth and gums throughout the procedure.

1
Assessment of teeth condition with photographs taken by our dental hygienist

2
Consultation with the doctor (X-ray scan required) and confirmation of treatment plan before teeth cleaning.

3
Application of agents for gum protection followed by the whitening gel.

4
Whitening ray exposure to activate the whitening gel.
At-Home Vital Whitening Process
Home whitening involves the use of lower-concentration bleaching agents, typically around 10-15% hydrogen peroxide, to gradually whiten teeth over a period of time. This method allows individuals to apply the treatment in the comfort of their own home, using custom-made whitening trays provided by MINISH Dental Hospital. These trays ensure the whitening agent is evenly distributed across the teeth and minimizes gum exposure to the chemicals. By following a prescribed regimen patients can achieve significant whitening results. This approach to teeth whitening is appreciated for its convenience and the ability to control the level of whitening over time.

1
Fill – Squeeze the whitening agent into the tray.

2
Apply – Place the whitening tray on your teeth.

3
Remove – Remove the tray and brush your teeth.

4
Store – Clean and store the whitening tray.
How Does Non-Vital Whitening Work?
In the case of a necrotic tooth, since the iron component of hemoglobin has penetrated into the mineral crystals of the teeth and changed their color, if we remove the discolored pulp (nerve) and replace it with a tooth whitening agent (sodium perborate component), the teeth will be whitened and appearance greatly improved.

Step 1
The dentist creates a small access hole into the tooth and removes the dead pulp. The the root canal filling material is sealed with a protective liner.
Step 2
The tooth is filled with a whitening agent that is temporarily sealed and left for days or weeks to bleach the inside of the tooth. This may be repeated to achieve the desired result.
Step 3
The whitening agent is removed, and the tooth is permanently filled and sealed with resin to protect the inside of the tooth and prevent further internal discoloration.
* In cases where the pulp has dried out, non-vital tooth whitening may not be possible. Please consult with a doctor to find out the viability of non-vital tooth whitening.
How Long Does Teeth Whitening Last?
The duration of teeth whitening effects can vary significantly with an average span of about one year. This longevity is influenced by personal habits such as diet, oral hygiene, and tobacco use, with substances like tea, coffee, red wine, and smoking known to accelerate the re-staining process. To maximize the whitening effects, maintaining good oral hygiene and minimizing exposure to staining agents are recommended.
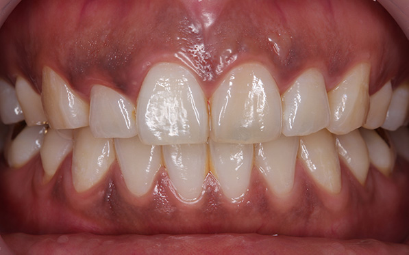
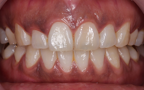
Teeth Whitening Before & After
MINISH Teeth Whitening
Gum Bleaching
Gum bleaching, also known as gum depigmentation, is a cosmetic dental procedure aimed at improving the aesthetic appearance of the gums by removing or lightening excessive melanin pigmentation. The process involves the careful removal or treatment of the gum’s outer layer where the melanin is accumulated, often using laser technology or other specialized techniques. The objective is to reveal a more uniform, bright red coloration that is often associated with healthy gums. This can enhance the patient’s smile and boost their self-confidence.

When to Consider Gum Bleaching:
How Does Gum Bleaching Work?
Using a laser or other specialized techniques, the melanin pigment distributed in the epithelial tissue of the gums is removed to expose healthy gums under the epithelial layer – a principle similar to skin peeling.

1. Discolored gums

2. Removal of melanin pigment from epithelium

3. Uniform exposure of gingival connective tissue layer

4. Pink gums after 1-2 weeks
MINISH Teeth Whitening
When Teeth Whitening Isn’t Possible

For congenital discoloration, severe discoloration caused by medications like tetracycline, discoloration due to aging, discoloration caused by dental nerve damage, or discoloration due to a rough tooth surface, aesthetic results can be limited with just whitening. Furthermore, if regular whitening treatments are not possible, we recommend the MINISH Veneers as a permanent whitening method that does not damage teeth.
*Before seeking any whitening solution, it is recommended to first accurately assess your dental condition before choosing the appropriate treatment method.
|
If you… 28_634f7e-aa> |
If you get teeth whitening… 28_04cc59-26> |
We recommend MINISH Veneers because… 28_1f91f4-d2> |
|
Have white spots 28_a3b88f-63> |
White spots become more obvious. 28_e719f5-61> |
White spots will be covered. 28_33c06a-a4> |
|
Have severe tooth discoloration or are seeking a specific shade 28_a9c6c1-bc> |
Teeth will only be brightened 1-1.5 shades as standard, and results may vary per person. 28_3c9126-d1> |
Patient can precisely select the desired shade from wide range of colors, and outcomes are consistent. 28_15c7bf-88> |
|
Have thin or sensitive teeth 28_5edfe5-8c> |
The enamel layer can become thinner, increasing erosion and sensitivity, and may cause pain during the treatment. 28_609616-6b> |
MINISH Veneers act like a protective barrier on the teeth as they are ultra-thin and require only 0.1mm of shaving to be installed. 28_c194e1-0f> |
|
Want to correct other imperfections (tooth gap, chip, or misalignment) 28_e8c50d-4e> |
Only teeth color concerns are able to be treated. 28_5c75dc-bc> |
MINISH Veneers provide a long-term whitening solution at the same time as address other dental imperfections, vastly reducing treatment time. 28_8709c1-00> |
|
Want more permanent whitening results 28_853e44-44> |
Results may last from several months up to 2 years, but this can vary significantly from person to person based on lifestyle choices and oral hygiene practices. Not advised for frequent repetition, to preserve enamel health. 28_ee5850-39> |
MINISH veneers are ultra-thin and designed to cover the original teeth, offering a semi-permanent durability, and with a . 28_3feeac-e6> |
MINISH Teeth Whitening
In-Office Teeth Whitening
Precautions
Frequently Asked Questions
What types of teeth whitening treatments are available at MINISH Dental Hospital?
MINISH Dental Hospital offers several teeth whitening options:
- In-Office Whitening: A procedure where highly concentrated bleaching agents are applied directly to the teeth, providing immediate and significant whitening results under professional supervision.
- At-Home Whitening: This method involves using custom-made trays and lower-concentration bleaching agents, allowing patients to whiten their teeth gradually at home over a prescribed period.
- Gum Bleaching: Also known as gum depigmentation, this cosmetic procedure lightens excessive melanin pigmentation in the gums, resulting in a more uniform and aesthetically pleasing gum appearance.
How long do the effects of teeth whitening last?
The duration of teeth whitening effects varies among individuals but typically lasts about one year. Factors such as diet, oral hygiene, and tobacco use can influence the longevity of the results. To maintain the whitening effect, it’s recommended to practice good oral hygiene and minimize exposure to staining agents like coffee, tea, and smoking.
Are there any precautions to take after undergoing teeth whitening?
Yes, after a teeth whitening procedure, it’s advisable to:
- Avoid smoking for at least 48 hours.
- Steer clear of foods and beverages that can stain teeth, such as red sauces, berries, coffee, and tea.
- Be aware that mild sensitivity to hot or cold liquids may occur but usually subsides within 1–2 days.
- Note that existing dental work like fillings or crowns will not whiten, so they may need to be replaced to match the new tooth color.
Who are ideal candidates for teeth whitening at MINISH Dental Hospital?
Ideal candidates include individuals with:
- Discolored teeth due to coffee, tea, smoking, or aging.
- Teeth that have turned black due to trauma.
- Teeth that are naturally yellowish.
- Overall color tone mismatches in their teeth.
However, those with white spots on their teeth are generally advised against undergoing teeth whitening, as the treatment can make these spots more noticeable. In such cases, dental veneers are recommended as a more suitable solution.
Is teeth whitening painful?
While individual experiences may vary, some people might experience mild discomfort during the teeth whitening procedure or sensitivity to cold foods on the day of treatment. Professional whitening procedures can adjust the concentration of the whitening agent or apply a desensitizer to reduce hypersensitivity.


