MINISH Veneers in Korea:
Incredibly Thin, Impossibly Strong
Get the Smile You’ve Been Looking For
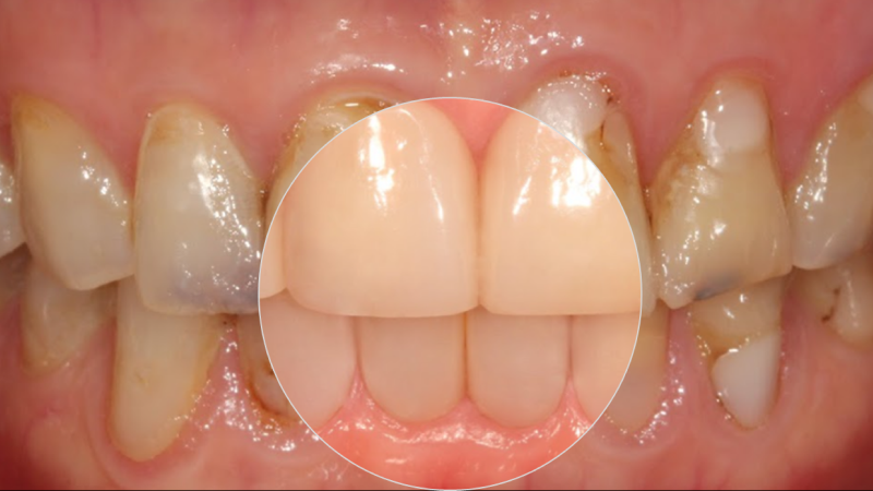
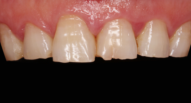
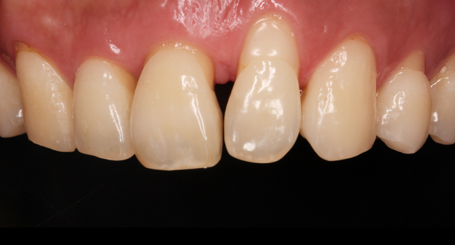
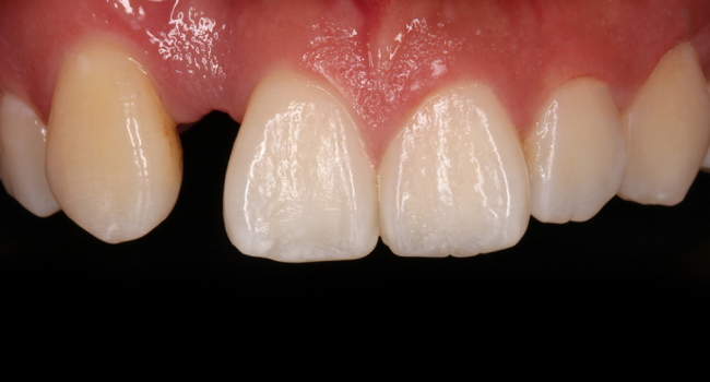
MINISH veneers are the ideal solution for those who want a minimally invasive and long-lasting option to improve their smiles. With our state-of-the-art process, we fill the damaged part of the tooth with materials that emulate the shape and properties of the original tooth. This restores the function and aesthetics of the damaged teeth and gums.
MINISH Veneers Overview

What Are
MINISH Veneers?
MINISH veneers are not laminate veneers. MINISH veneers are meticulously crafted using exclusive MINISH blocks based on ceramic, which possess properties closely resembling natural teeth in terms of color, texture, biocompatibility, and light transmittance, ensuring the most natural and similar appearance to natural teeth.
MINISH veneers offer a seamless, permanent solution for restoring teeth and creating perfect smiles without the need for tooth shaving or removal.
They are applicable for any kind of dental issue, including previously treated teeth and molars. MINISH provides refined treatment in just one day.


Who Needs
MINISH Veneers?
MINISH veneers offer a revolutionary solution for a broad spectrum of dental concerns, making them suitable for individuals looking for cosmetic improvements without sacrificing their dental health.
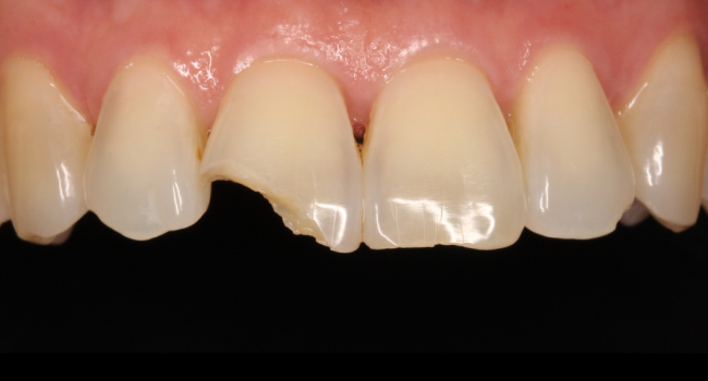
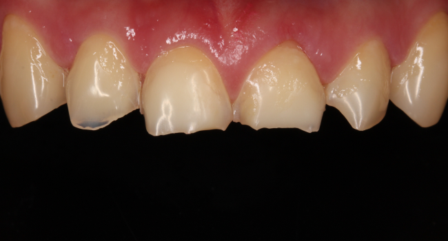
- Suitable for those with discolored teeth, cavities, or extensive dental damage beyond traditional laminate capabilities.
- Beneficial for patients facing unique dental challenges such as difficult-to-treat molars, gum recession, or desiring to correct misalignments with minimal tooth removal.
- Perfect for patients aiming to avoid extensive tooth shaving, invasiveness of bridges and implants, offering solutions like pink MINISH for gum recession, dual MINISH for large cavities, and MINISH bridges for missing teeth.
- Provides a versatile, less invasive, and technologically advanced option for both complete smile makeovers and targeted repairs, preserving natural tooth integrity while enhancing oral health and aesthetics.

Gapped Teeth

Misaligned Teeth

Discoloured Teeth

Damaged Teeth

Shaved Teeth

Missing Teeth

Long or Short Teeth

Damaged Molar Teeth

How Are MINISH Veneers
Different from Porcelain?

Why Are MINISH Veneers Special?
- No Teeth Shaving Required
- Applicable and Custom Handcrafted for All Cases
- Utilizes the Latest Technology and Equipment
- Guaranteed Safety and Durability
- 10 Years of Warranty
- One-day Treatment Available
1. No Teeth Shaving Required
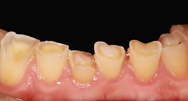
The essence of dental shaping lies in preserving as much of the tooth as possible while minimizing removal. MINISH involves almost no removal of tooth material, by refining the enamel to less than 0.2mm and attaching a prosthetic that MINISH prioritizes functional treatment while beautifying the teeth.

Industry-leading Veneer Thinness
The precision of the teeth produced in our laboratory is of utmost importance because less precise work may necessitate more extensive shaving of teeth. MINISH veneers are made with breakthrough technology that provides industry-leading thinness. This allows for the veneer to be applied with less alteration to the original tooth and less adhesive required to keep the veneer in place.

2. Applicable and Handcrafted for All Cases
Utilizing cutting-edge technology, an extensive range of equipment, a dedicated team, and 3D printing techniques, we create MINISH veneers to match the uniqueness of each individual tooth.
Precisely Handcrafted for Each Patients
MINISH Dental Hospital doesn’t adhere to a one-size-fits-all design; instead, we create 1:1 custom teeth based on the natural shape of the client’s own teeth, ensuring a natural and aesthetically pleasing appearance that meets the satisfaction of not looking artificial. Crucial to achieving satisfactory results is the communication between the dental technician designing the teeth and the client. To this end, MINISH Dental Hospital has long operated its own in-house laboratory to facilitate immediate modifications if needed after production. Staffed by technicians with over 15 years of experience on average, MINISH Dental Hospital is committed to producing highly precise work, embodying our dedication to excellence in dental care.
Multi-Stage Process to Ensure The Best Results

3D Scan

Designed by Professional Dental Technician

Initial Production With an Error-Free Milling Machine

Model Production Using a 3D Printer

Final Production by a Professional Dental Technician
Applicable Cases
MINISH offers a revolutionary solution for a broad spectrum of dental concerns as it is precisely and thinly produced by accurately scanning the teeth, eliminating the need for unnecessary tooth removal.
Special MINISH Veneers
MINISH veneers offer a solution for patients facing unique dental challenges, such as difficult-to-treat molars, gum recession, and for those who want to avoid extensive tooth shaving, the invasiveness of bridges and implants, by offering solutions like MINISH bridges for missing teeth, pink MINISH for gum recession, dual MINISH for large cavities, and molar MINISH.
MINISH Bridges for Missing Teeth

The MINISH Bridge is an efficient, aesthetic alternative for front teeth replacement, ideal for those unable to have implants. It safeguards existing teeth, offers quick enhancement in less than a week, and avoids the extensive tooth alterations required by traditional bridges. It stands as the superior choice to six-month implants.
Molar MINISH for Molar Damages

When extensive damage occurs to molars, crown treatments are typically recommended. However, crowns can lead to unnecessary further damage to the tooth structure and can negatively impact gum health. At MINISH Dental Hospital, we offer a revolutionary Molar MINISH veneers that minimizes tooth reduction and preserves gum health.
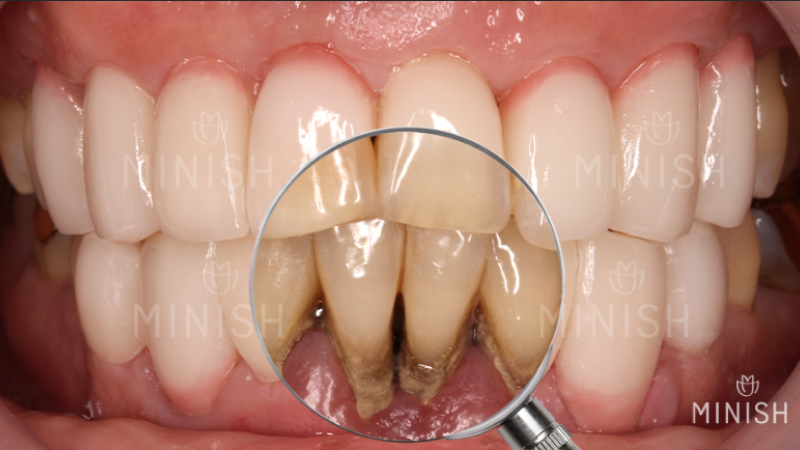
Pink MINISH for Gum Recession

For those facing receding gums due to dental aging, trauma, or severe periodontal issues we offer the Pink MINISH Veneer solution. Pink MINISH is expertly designed to enhance both the function and appearance of teeth and gums, addresses the concerns of exposed tooth roots and the illusion of elongated teeth, ensuring a balanced and beautiful smile.
Dual MINISH for a Widespread Damage

In cases of widespread damage to the anterior teeth, crown treatments have traditionally been the go-to solution which requires minimally 0.5-0.7mm of shaving to create space for the prosthetic. For these cases, we offer Dual MINISH solution which effectively shields the entire front surface of damaged teeth without the need to remove precious tooth structure.

DUAL VENEERS
Ideal for extensive damage to the front teeth, this type ensures strong and aesthetically pleasing restoration for your smile’s forefront.

PINK MINISH VENEERS
Designed for cases where both the front teeth and gums are affected, providing a harmonious integration and restoration of dental health and aesthetics.
When deciding on veneers, it’s important to choose a type suited to your secific dental needs. Different types of veneers can address a range of symptoms, from aesthetic concerns to functional issues across various areas of the mouth, including:
Molar Veneers
Molar veneers are specifically designed to address and repair extensive damage to the molars. These veneers provide a robust and durable solution, equipped to handle the significant pressure and wear from chewing. By reinforcing the damaged molars, they restore both function and appearance, ensuring that your back teeth contribute to a healthy and effective bite.
Pink Minish Veneers
The Pink Veneers is a versatile dental solution aimed at repairing both damaged front teeth and the surrounding gums. This innovative treatment not only restores the appearance and function of your front teeth but also addresses gum issues, ensuring a harmonious and aesthetically pleasing smile.
Dual Veneers
Dual Veneers are designed to provide thorough restoration for front teeth that have suffered extensive damage. Covering both the labial (front) and lingual (back) surfaces, these veneers offer complete protection and reinforcement.
Bridge Veneers
Bridge Veneers are an effective option for restoring lost teeth, providing both functional and aesthetic solutions. They work by bridging the gap left by missing teeth, securely anchoring the veneer to the adjacent natural teeth.
Limited Production Premium Service
We produce only 70 unites per day for a one-day treatment. MINISH veneers goes through three stages of precise handcrafting to produce only 45 units per day. To achieve this, we operate a strict appointment system and limit the number of reservation. Once you are in however, our process has been refined throughout the years to achieve excellence in customer comfort and convenience.

Limited Production Premium Service
We produce only 45 unites per day for a one-day treatment. MINISH veneers goes through three stages of precise handcrafting to produce only 45 units per day. To achieve this, we operate a strict appointment system and limit the number of reservation. Once you are in however, our process has been refined throughout the years to achieve excellence in customer comfort and convenience.
3. Utilizes the Latest Technology & Equipment
Material (MINISH Block)
MINISH Blocks are materials most similar to natural teeth, exclusively produced and supplied by VITA company in Germany. These blocks are made of ceramic and possess properties closely resembling those of natural teeth, including color, texture, biocompatibility, and light transmittance. This ensures an appearance that is highly natural and similar to that of natural teeth.

The Latest Technology and Equipment
At MINISH Dental Hospital, we spare no expense in investing in state-of-the-art equipment. As a dental clinic that insists on the latest technology, we readily invest in improvements to enhance the quality of care. We aim to avoid scenarios where the absence of equipment prevents the provision of quality care by equipping ourselves with the latest and most advanced technology.

Dentsply Sirona Milling Machine
Milling machine is a small cutting machine that uses a CAD/CAM system. Dentsply sirona milling machine is the most expensive milling machine currently available, capable of fast and precise processing. The MINISH Lab owns a total of 9 units..

Primescan 3D Scanner
Unlike the traditional impression, Primescan can send digital data directly to MINISH Lab Design PC. As the latest oral 3D scanner, among the existing scanners, it is the most accurate and fastest. The scanner precisely scans even the areas of the teeth that are difficult to access.

3D Printer
We utilize various different types of 3D printers, such as Cara Print, Zenith D, Cubicon Style 210D. Cara Print is the most accurate and fastest dental 3D printer currently available to create oral models.

Porcelain Furnace
Porcelain Furnaces are equipments suitable for the manufacturing of metal-ceramic and all-ceramic restorations for use in dentistry such as veneers, crowns, bridges. They are used for sintering (the process of shaping) and glazing, which reproduces prosthetics with a shape and shine similar to natural teeth.
The Highest Precision with the Latest Technology

MINISH veneers are as unique as a person’s fingerprints as they are custom-made to match the individual’s tooth shape and the extent to his/her damage.
4. Guaranteed Safety and Durability
MINISH achieves a complete chemical bond with the tooth, becoming an integral part of it. This process prevents any gaps between the tooth and gum that could lead to bacterial invasion, weakening of the bond, and other issues. It eliminates the need for special care instructions, and with proper maintenance, the results can be semi-permanent.
Industry Leading Strength
12.5% Stronger

Natural Tooth Strength 400Mpa

The combined strength of natural teeth and MINISH is 450 Mpa
5. 10 Years of Warranty
Every customer who receives genuine MINISH is provided with an official MINISH box. By scanning the attached QR code on the certificate, customers can secure a warranty for MINISH veneers that lasts up to 10 years.


MINISH Veneers Serial Number
Each veneer has its own individual serial number, this certificate of authenticity guarantees 4 things below. Just like a luxury watch brand!




6. One-Day Veneer Treatment
The combination of our in-house laboratory and cutting-edge equipment has made it possible for treatments that previously required multiple visits to be completed in just one visit at MINISH Dental Hospital. This has made dental care more accessible for clients who are constrained by time, including those from other regions or countries, or those with busy schedules.
From “Start” to “Smile” Only Takes
8 Hours 15 Minutes
Experience unmatched excellence in medical services with our unique one-day treatment solution.Tailored for our international patients, we promise a seamless healthcare journey, integrating speed, comfort, and world-class standards.

In-house Lab and Fabrication
Our in-house lab on the 6th floor is where we design, fabricate, and refine all of our veneers. Here is where our team of designers and technicians use the most advanced technologies to craft your veneers. You can see and meet your technicians as they craft or wait in comfort in our lounge.

You-Centric Care
An Entire Hospital Focused on You

Start Your New Smile Today
Start Your New Smile Today
Start Your New Smile Today
Frequently Asked Questions
What are MINISH Veneers?
MINISH veneers are meticulously crafted using exclusive ceramic blocks that closely resemble natural teeth in color, texture, biocompatibility, and light transmittance. They offer a seamless, permanent solution for restoring teeth and creating perfect smiles without the need for tooth shaving or removal. Applicable for various dental issues, including previously treated teeth and molars, MINISH provides refined treatment in just one day.
Who can benefit from MINISH Veneers?
MINISH veneers are suitable for individuals with discolored teeth, cavities, or extensive dental damage beyond traditional laminate capabilities. They are beneficial for patients facing unique dental challenges such as difficult-to-treat molars, gum recession, or those desiring to correct misalignments with minimal tooth removal. Additionally, they are ideal for patients aiming to avoid extensive tooth shaving and the invasiveness of bridges and implants, offering solutions like pink MINISH for gum recession, dual MINISH for large cavities, and MINISH bridges for missing teeth.
What makes MINISH Veneers special?
MINISH veneers stand out due to several factors:
- No Teeth Shaving Required: They involve almost no removal of tooth material, preserving natural tooth structure.
- Custom Handcrafted for All Cases: Utilizing cutting-edge technology and 3D printing techniques, each veneer is tailored to the individual’s tooth shape and damage extent.
- Latest Technology and Equipment: The use of state-of-the-art equipment ensures precision and quality.
- Guaranteed Safety and Durability: They achieve a complete chemical bond with the tooth, helping prevent gaps that could allow bacterial invasion.
- 10-Year Warranty: Each veneer comes with a certificate of authenticity and a 10-year warranty.
- One-Day Treatment Available: The in-house laboratory and advanced equipment allow treatments to be completed in just one visit.
How does the MINISH veneer process work?
The MINISH veneer process involves:
- First Examination and Consultation: Initial oral examination (X-ray, oral photography) to assess dental condition, followed by a thorough consultation.
- Second Examination and Consultation: Follow-up examination and discussion of desired outcomes, including precise oral diagnosis and veneer design consultation.
- Pre-veneer Gum Health Enhancement: Optional teeth scaling and gum contouring to prepare the gum line.
- Veneer Preparation Stage: Preparation of the tooth surface, 3D scanning for accurate custom fabrication, and final veneer design consultation.
- Veneer Bonding Stage: Design check, bonding of veneers to natural teeth, and bite/shape adjustment.
- Veneer Fitting Check: Smile line check, explanation of veneer care, and post-fitting photography to ensure satisfaction.
What is the cost of MINISH Veneers?
The cost of MINISH veneers varies based on the program selected:
- MINISH PREMIUM: 2,200,000 KRW per veneer, 10-year warranty, performed by Master of Minish Dentistry (30,000+ cases).
- MINISH PERFECT: 1,700,000 KRW per veneer, 7-year warranty, performed by Director of Minish Dentistry (10,000+ cases).
- MINISH BASIC: 1,400,000 KRW per veneer, 5-year warranty, performed by Chief of Minish Dentistry (1,000+ cases).
- MINISH SIMPLE: 1,100,000 KRW per veneer, 3-year warranty, performed by Member of Minish Dentistry (100+ cases).
Additional procedures like gum contouring surgery are available for 200,000 KRW.
How long does the MINISH veneer treatment take?
The combination of the in-house laboratory and cutting-edge equipment allows treatments that previously required multiple visits to be completed in just one visit at MINISH Dental Hospital. This streamlined approach enables patients to transform their smiles quickly, even if they are visiting from abroad.
Are MINISH Veneers durable?
Yes, MINISH veneers are designed for durability. They achieve a complete chemical bond with the tooth, becoming an integral part of it. This process helps prevent gaps between the tooth and gum that could lead to bacterial invasion and weakening of the bond. With proper maintenance, the results can be semi-permanent.
What technology is used in creating MINISH Veneers?
MINISH Dental Hospital utilizes state-of-the-art equipment, including:
- Dentsply Sirona Milling Machine: Capable of fast and precise processing.
- Primescan 3D Scanner: Provides accurate and fast oral scanning.
- 3D Printers: Used to create precise oral models.
- Porcelain Furnace: Used for sintering and glazing to reproduce prosthetics with a shape and shine similar to natural teeth.
This advanced technology ensures precision and quality in veneer creation.
Is there a warranty for MINISH Veneers?
Yes, every customer who receives genuine MINISH veneers is provided with an official MINISH box containing a certificate of authenticity. By scanning the attached QR code on the certificate, customers can secure a warranty for MINISH veneers that lasts up to 10 years, depending on the program selected.
How can I schedule a consultation for MINISH Veneers?
To schedule a consultation for MINISH veneers, you can book online through the MINISH Dental Hospital website. The process typically involves an initial online consultation where you may be requested to send photos of your teeth. A deposit is required to secure your appointment. For international patients, the hospital provides a seamless experience, including comprehensive online consultations and efficient scheduling to accommodate travel plans.





























