Real Results, Happy Patients
Incredibly Thin, Impossibly Strong
Common Cases: Before and After
Gap in Teeth

The most common cause of gapped front teeth is a fraenum that sits lower than usual and keeps the two top front teeth apart.
Gapped teeth are considered a majorly complex cosmetic factor, but they also cause functional problems that can affect one’s health. For example, food is more easily caught between gapped teeth which in turn pushes the opening further. In addition, the exposed gums between the teeth are more easily damaged and infected. If the gap is inherited through genetics, aging, or gum diseases, orthodontic treatments alone are often not enough to resolve the issue.
With Minish Dental Hospital, we can cover all concerns regarding gapped teeth from orthodontic treatments to veneers. Our minimal shaving technique helps fit veneers more naturally, unlike the use of laminate which requires the reduction of 0.5-0.7mm of enamel. To learn more, reach out using our convenient consultation form today.
Bunny Teeth

What causes bunny teeth, also known as buck teeth? Bunny teeth are when the incisors appear relatively prominent due to a longer length or larger width. Bunny teeth can occur due to a number of factors such as tongue thrusting, thumb sucking, and natural alignment. Gum disease, affected chewing and speech, jaw problems and even tooth loss may result from an overbite.
If the cause of rabbit teeth is due to the angle of the teeth, it can be resolved through orthodontic treatment. In the case of large tooth size differences, it is difficult to expect satisfactory results with orthodontic treatment alone. Thus, Minish suggests a hybrid treatment of orthodontics and veneers for patients with concerns about bunny teeth. Our hybrid treatment establishes a 1:1 customized treatment plan through a detailed examination and analysis system using state-of-the-art equipment.
Do you only require cosmetic veneers? You can improve your bunny teeth easily with our One Day program. Contact us today to see which treatment plan is best for you.
Butterfly Teeth

Teeth erupting crookedly – known popularly as butterfly teeth – are caused by a number of reasons ranging from genetics to mouth deformities and serious oral diseases. Although there is no major problem in the overall teeth alignment when one has butterfly teeth, spread-out incisors can make the entire alignment of one’s smile appear uneven.
Trying to improve the shape through general esthetic prosthetic treatment such as with laminate or crowns will inevitably increase the amount of teeth shaving required. This will have a fatal adverse effect on your dental health. To minimize the teeth shaving, the patient featured in the photograph received six Minish veneers to help improve the alignment.
To determine whether or not you are able to apply veneers to your butterfly teeth, contact our expert staff today for professional guidance.
Dwarf Teeth

Dwarf teeth, or teeth that are smaller than normal, can occur for a number of reasons. This includes pituitary dwarfism, chemotherapy or radiation, cleft lip and palate, or congenital deafness with labyrinthine aplasia, among others.
Dwarf teeth are most often seen in the lateral incisors right next to the incisors. If a certain tooth is smaller than the surrounding teeth, prosthetic treatment can be undergone. However, in the case of dwarf teeth, it is important not to trim too much as they are already smaller in size. In comparison to other veneer treatments, improving the size and shape of the teeth is more important than teeth alignment.
Minish veneers can be applied over dwarf teeth to give them an overall larger or longer appearance. Each case depends on the unique teeth of the patient, which is taken into consideration by our expert staff. To see if the Dwarf Teeth treatment is right for you, contact us using our online consultation form today.
Learn Why Your Favorite Korean Celebrity Chose Minish
Case Study Photo Gallery
Old Prosthesis Retreatment



Bite

Open Bite

Increasing Occlusal Vertical Dimension

Cross Bite/Under Bite
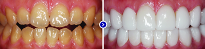
Discoloration

Treatment period: 1 day

Treatment period: 1 day

Treatment period: 1 day
Anti-aging

Treatment period: 2 weeks

Treatment period: 1 day

Treatment period: 1 week
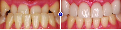
Alignment

Treatment period: 1 day

Treatment period: 1 day

Treatment period: 4 weeks
Bunny Teeth/Rabbit Teeth

Treatment period: 1 day

Treatment period: 1 week

Treatment period: 2 weeks
Bridge

Treatment period: 1 week

Treatment period: 1 day

Treatment period: 2 weeks
Damaged Teeth

Treatment period: 1 day

Treatment period: 1 week

Treatment period: 1 day